Somatostatin - Rezeptor - Szintigraphie
Sie Somatostatin - Rezeptor - Szintigraphie ist in der Lage, bei Tumoren und Metastasen neuroektodermalen Ursprungs die Expression von Somatostatinrezeptoren nachzuweisen. Es handelt sich dabei um gastroenteropankreatische neuroendokrine Tumore (GEP-NET).
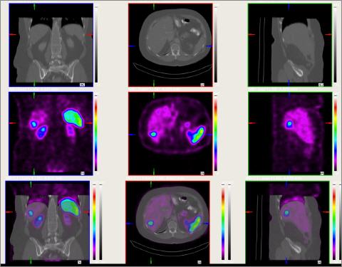
Solche Tumore können ganz verschiedene Hormone herstellen (z.B. Insulin, Gastrin ...). Sie sind häufig schwer zu finden. Die SMS - Szintigraphie kann aber solche Tumoren aufspüren. Auch kleinzellige Bronchialkarzinomen können so untersucht werden. Neben der Ausbreitungsdiagnostik kann auch nach Rezidiven gesucht werden. Sollten die Tumore die Somatostatinrezeptoren besitzen, kann man die Erkrankung mit Somatostatin als Medikament behandeln. Sie erhalten eine Spritze in eine Armvene. Die Substanz ist in der Regel gut verträglich. Es erfolgen dann Ganzkörperaufnahmen und Schnittbildaufnahmen (SPECT) bis zum Folgetag. Sollten schon CT oder MRT Aufnahmen vorliegen, bringen Sie bitte eine CD mit den Daten mit. Wir können dann unsere Aufnahmen und die CT - Bilder "übereinanderlegen" und erhöhen die Aussagekraft der Untersuchung.
In diesem Beispiel sind Leberherde zu sehen.
